退行性骨关节病,也称为骨关节炎,是以关节软骨退行性病变、关节面及其边缘形成新骨为特征的一组非炎症性病变。临床极为常见,好发于膝关节、髋关节、脊柱及远端指间关节等部位。临床上表现为进展性关节疼痛,可有晨僵、关节肿大等。多见于中老年人,女性多于男性。

退行性骨性关节病是一个缓慢渐进的病例过程,受限关节软骨退变、变性、磨损、消失,随后软骨下骨囊腔变,伴关节囊与周围韧带退变、纤维化、萎缩,最终关节面完全破坏、畸形。原发性退行性骨性关节病的病因尚不明了,可能与年龄、负重、代谢等因素有关;继发性是在原有疾病基础上发展为退行性骨关节病。


一、关节疼痛
初期为轻度或中度间歇性隐痛,休息时好转,活动后加重,疼痛常与天气变化有关。晚期可出现持续性疼痛或夜间痛。
二、关节僵硬
在早晨起床时关节僵硬及发紧感,也称为晨僵,活动后可缓解。关节僵硬在气压降低或空气湿度增加时加重,持续时间一般较短,常为几分钟或十几分钟,很少超过30分钟。
三、关节肿大
手部关节肿大变性明显,可出现Heberden结节和Bouchard结节。部分膝关节因骨赘形成或关节积液也会造成关节肿大。
四、骨擦音(感)
由于关节软骨破坏、关节面不平,关节活动时出现骨擦因(感),多见于膝关节。
五、关节无力、活动障碍
关节疼痛、活动度下降、肌肉萎缩、软组织挛缩可引起关节无力,行走时软腿或关节交锁,不能完全伸直或活动障碍。
药物治疗:非甾体类抗炎药物、镇痛药物、糖皮质激素、抗焦虑药物;
手术治疗:关节软骨修复术、关节镜下清理手术、截骨术、关节融合术、人工关节置换术;
物理治疗:通过促进局部血液循环、减轻炎症反应,达到减轻关节疼痛、提高患者满意度的目的。


促进血液循环,炎症消散的作用
提高痛阈,镇痛作用
刺激运动神经和肌肉,增加肌力,预防肌肉萎缩的作用
松解黏连,软化瘢痕的作用
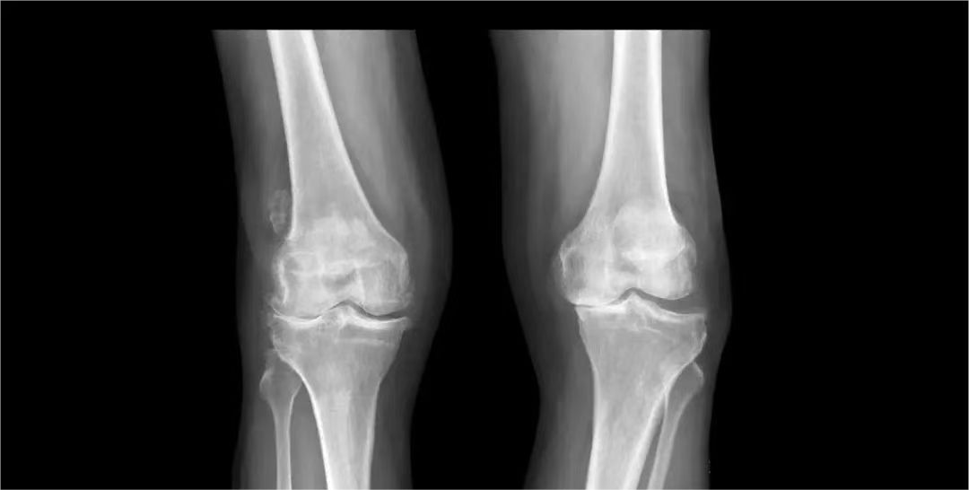
患者 女 72岁 “左侧臀部疼痛、双侧膝关节疼痛1周”
临床诊断:左侧臀大肌损伤,双侧膝关节退行性关节炎
治疗方案:冲击波疗法+漫游交互刺激技术

